News マウスピース型矯正装置(インビザライン)⑤ デコボコを治したい方
女性 高校生
当院を受診されたきっかけは「デコボコが気になる」との理由からでした。
精密検査の結果、マウスピース型矯正装置(インビザライン)で治療をスタート致しました。
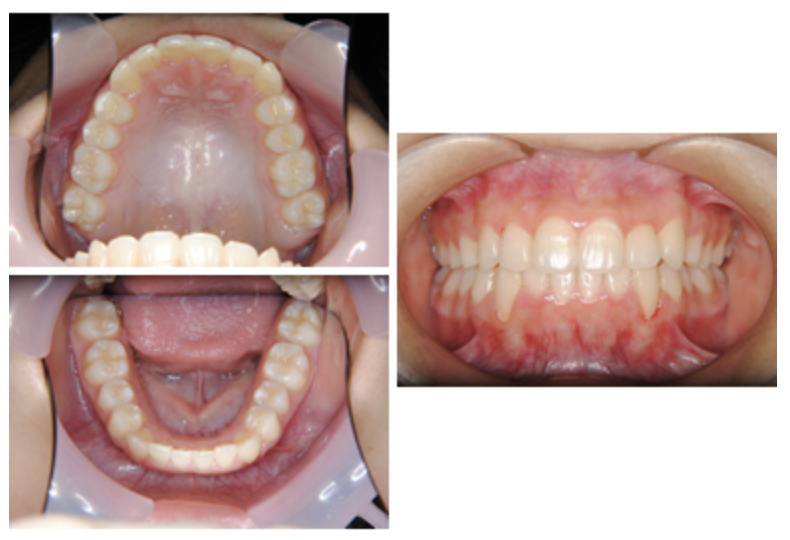
下の写真は、初診時の口腔内写真です。
マウスピース型矯正装置(インビザライン)のメリット
◎1度型採りをすると、その後何度も型採りをする必要がありません。
他のマウスピース矯正では、その都度型採りが必要になりますので 型採りが苦手な方にオススメです。
◎通院回数が少なくて済むので、お忙しい方や遠方の方にも向いています。
現在当クリニックでは、東京に在住の方も通院中です。
◎0.25mmずつ動かしていくので、他のマウスピース矯正よりも痛みが少ないです。
機械で作成するからこそ実現できる小ささ、人の手で作成しているマウスピース矯正では不可能です。
◎見えない矯正が可能です。
透明のプラスティックを採用しており、もちろん他の方からは気付かれません。
◎金属アレルギーの方にも対応できます。
プラスティック製の為、金属アレルギーを引き起こす心配がありません。
◎この方の総来院回数
10回
◎治療期間
1年4ヶ月
◎使用したマウスピースの個数
上顎→30個 下顎→20個
下の写真は、治療終了後の口腔内写真です。
スタッフからのコメント
高校1年生で矯正をスタートして、2年生のうちに治療が終了しました。
大学は県外に行く!と話していらっしゃったので、早めに治療が終わって良かったですね♪
本当に綺麗になって私達も嬉しいです!
矯正お疲れさまでした。
インビザラインは「薬機法未承認の矯正歯科装置であり、医薬品副作用被害救済制度の対象外となる場合があります」
| マウスピース型矯正装置(インビザライン) | |
| 初診カウンセリング | 0円 |
|---|---|
| 検査・診断料 | 45,000円 |
| 基本料・処置料・保定料(3年) | 905,000円 |
| 調整料・管理料 | 0円 |
| トータルフィー(治療費の総額) 950,000円 | |
| リスク・副作用 | |
| ・矯正装置を取り付けるため丁寧な歯磨きが必要になり、虫歯や歯周炎になるリスクが高くなります。 ・患者様の協力が得られない場合、治療期間や治療結果に影響を与えます。 ・装置による痛みや不快感がありますが、1~2週間で慣れることがほとんどです。 ・歯の動き方には個人差があり、予想の治療期間が延長することがあります。 |
